Acute Cellular Rejection: SEVERE

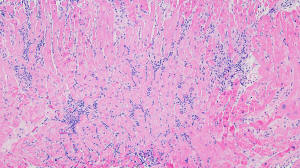
Figure A. H&E x10

Figure B. Trichrome stain x10

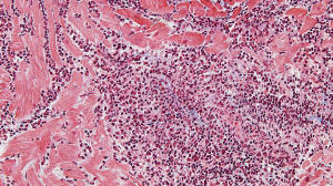
Figure C.  H&E x20

Figure D. Trichrome stain x20

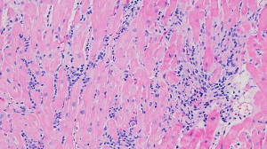
Figure E.  H&E x20

Figure F. Trichrome stain x20

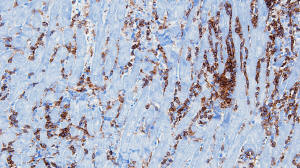
Figure G. IHC CD4 stain x20

ALLOGRAFTS

 

Clinical History: 30 year-old male with history of non ischemic cardiomyopathy developed severe systolic heart failure and received an orthotopic heart transplant.

Histology: Biopsy of the myocardial tissue performed at one month after the transplant showed myocardial tissue with diffuse and severe polymorphous mononuclear infiltrates with extensive myocyte damage, interstitial edema, vasculitis and focal necrosis (H&E staining in Figures A, C & E, and corresponding trichrome stains in Figures B, D & F). Special immunohistochemistry (IHC) stain for CD4 in a consecutive section from E and F (Figure G) shows a predominant infiltrate for helper cells.  All these features are consistent with severe acute cellular rejection, ISHLT 2004 Grade 3R (ISHLT 1990 Grade 3B).


(Last Edition: December 13, 2019 )