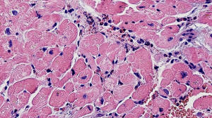
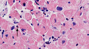
Eosinophilic myocarditis

 

Clinical History: 33 year-old female with history of eosinophilic granulomatosis with polyangitis (Churg-Strauss syndrome) developed myocarditis.

Histology: H&E stains (Figures A, B) demonstrate myocardium with increased number of perivascular chronic inflammatory cells admixed with eosinophils, some clustered in micro-abscess lesions. Some scattered eosinophils are also present between the myocardial fibers (arrow in Figure B).


(Last Edition: December 13, 2019 )